Afdelingen & Specialismen
U krijgt een MRI-onderzoek. Dit onderzoek wordt gedaan op de afdeling Radiologie door een Medisch Beeldvormings- en Bestralingsdeskundige (MBB’er). Een radioloog (gespecialiseerd arts) bekijkt en beoordeelt de beelden van uw onderzoek. In deze folder leest u hoe u zich op het onderzoek voorbereidt.
Wat is MRI?
MRI betekent ‘Magnetische Resonantie Imaging’. Het is een techniek om foto’s te maken van het lichaam. Deze foto’s zien eruit als plakjes van het lichaam. it gebeurt met een sterke magneet en radiogolven. Er wordt géén gebruik gemaakt van röntgenstraling.
Met MRI kunnen we veel organen en weefsels zien. Zo krijgen we vaak informatie die we niet, of minder makkelijk, met andere onderzoeken kunnen krijgen. Het onderzoek doet geen pijn en is niet gevaarlijk.

De voorbereiding
Geen metalen voorwerpenU mag geen metalen voorwerpen meenemen in de MRI-ruimte. Bij het onderzoek wordt een hele sterke magneet gebruikt. Heeft u metalen voorwerpen in uw lichaam zitten? Meld dit dan meteen aan de MBB'er die u ophaalt voor het onderzoek. Voorbeelden van metalen voorwerpen zijn:
- gewrichtsprotheses (meld hoe lang u deze al heeft)
- gehoorbeentjesprotheses
- hartkleppen
- kaakimplantaten
- pacemaker
- ICD
- Neurostimulatoren
- plaatjes
- reveal
- schroeven
- vaatclips
- metaalsplinters in de ogen
- tissue expander voor borstprothese(n)
- glucose sensor/insulinepomp/Omnipod
Uw arts heeft deze punten al met u besproken. Is dit niet gebeurd? Neem dan contact op met de arts die het MRI-onderzoek voor u heeft aangevraagd. Soms mag er dan geen MRI-onderzoek worden gedaan.
Kledingadvies
Trek een broek, T-shirt of hemd aan zonder ritsen en/of metaal. Deze kunt u tijdens het onderzoek aanhouden. Heeft u kleding aan met metalen knopen, metalen ritsen en dergelijke, dan vraagt de MBB’er u om deze uit te trekken. Ook losse voorwerpen die (deels) van metaal zijn mogen niet in de MRI-ruimte komen. Bijvoorbeeld: sieraden, haarspelden, pruik, gebitsprotheses, gehoorapparaat, bril, horloge, munten, sleutels, telefoon etc. Dit is nodig voor uw veiligheid en om goede foto’s te krijgen.
Geen make-up
Ook in sommige make-up en haargel zitten kleine metalen deeltjes. U mag deze daarom niet gebruiken. Komt u voor een MRI-onderzoek van de hand of voet? Zorg er dan voor dat er geen nagellak op uw nagels zit.
Kostbare spullen
Neem geen (bank)pasjes met een magneetstrip mee de MRI-ruimte in. De magneet van het MRI-apparaat kan de gegevens van de pasjes wissen! Als u kostbare spullen bij u heeft – bijvoorbeeld mobiele telefoon, bankpasjes, sleutels, sieraden - kunt u deze achterlaten in de kleedruimte. De kleedruimte kunt u op slot doen.
Medicijnen
Gebruikt u medicijnen? Dan kunt u deze gewoon gebruiken, tenzij uw arts u heeft gezegd dat het anders moet.
Angst voor kleine ruimten
Het MRI-apparaat is een soort tunnel. Vindt u kleine ruimtes eng (= claustrofobie)? Twijfelt u daardoor of het MRI-onderzoek door kan gaan? Bekijk dan eerst de extra uitleg (met foto’s) op onze website: www.alrijne.nl/afdelingen-specialismen/afdelingen-specialismen/radiologie
Eventueel kunt u daarna een afspraak maken om naar het MRI-apparaat te komen kijken voordat u het onderzoek krijgt.
Zwangerschap en borstvoeding
Bent u zwanger, of denkt u dat u zwanger kunt zijn? Vertel het ons voordat u het onderzoek krijgt! Bij het onderzoek wordt geen röntgenstraling gebruikt. Toch kunt u in het begin van de zwangerschap beter geen MRI-onderzoek laten doen.
Geeft u borstvoeding? U hoeft hier niet mee te stoppen voor, tijdens en na het onderzoek. Dit is ook niet nodig als er contrastmiddel bij het onderzoek wordt gebruikt.
Het onderzoek
Op de afgesproken tijd meldt u zich bij de receptie van de afdeling Radiologie. U wacht daarna in de wachtkamer. Een MBB’er komt u daar ophalen en brengt u naar een kleedkamer. Als u kleding heeft met metalen onderdelen, kunt u deze hier uittrekken. Ook kunt u in de kleedruimte uw spullen achterlaten die niet mee mogen in de MRI-ruimte.De MBB’er vraagt u om op de onderzoekstafel van het MRI-apparaat te gaan liggen. Het apparaat heeft de vorm van een tunnel. Deze tunnel is aan beide kanten open. De onderzoekstafel schuift in de tunnel. Het deel van het lichaam dat moet worden afgebeeld, ligt in het midden van de tunnel.
Meestal is een extra hulpstuk nodig om goede beelden te kunnen krijgen. Dit kan bijvoorbeeld een plaat op uw buik zijn of een kap over het hoofd. De kap over het hoofd is zo gemaakt dat u er doorheen kunt kijken. Op de kap kunnen we ook een spiegeltje zetten waarmee u naar natuurbeelden buiten de tunnel kunt kijken.
Van het onderzoek voelt u niets. U kunt het alleen wat warm krijgen.
Het MRI-apparaat maakt een hard kloppend geluid. U krijgt oordopjes in en een koptelefoon op. U kunt tijdens de meeste onderzoeken naar de radio luisteren.
Het is belangrijk dat u tijdens het onderzoek heel stil blijft liggen voor goede foto’s.
De MBB’er bedient het MRI-apparaat vanuit een ruimte naast de onderzoekskamer. Door een raam en videocamera’s kan de medewerker u zien. Via een intercom kan de medewerker met u praten. U krijgt ook een bel in de hand. Daarmee kunt u de medewerker oproepen.
Contrastmiddel
Bij sommige onderzoeken is contrastmiddel nodig. Contrastmiddel zorgt ervoor dat organen beter te zien zijn. U krijgt het contrastmiddel dan via een prikje in een bloedvat in de arm.
Komt u voor een MRI-onderzoek van één of meer organen in de buik? Dan kan het zijn dat:
- de MBB’er u vraagt om eerst naar de wc te gaan. De blaas en darmen zijn dan goed leeg.
- de MBB’er u een prikje geeft in een bloedvat van de arm. U krijgt dan een middel dat ervoor zorgt dat de darmen minder samenknijpen tijdens het onderzoek. Als u ook contrastmiddel krijgt, is maar 1 prik nodig om beide middelen te geven.
Dan moet u vanaf 3 uur voor het onderzoek nuchter zijn. Dit betekent dat u niet mag eten en drinken vanaf 3 uur voor het begin van het onderzoek. Als dit nodig is hoort u dit bij het maken van de afspraak. Vlak voordat het onderzoek begint, krijgt u van de medewerker een bekertje ananassap te drinken.
Komt u voor een MRI-onderzoek van de dunne darm?
Dan moet u vanaf 6 uur voor het onderzoek nuchter zijn. Dit betekent dat u niet mag eten en drinken vanaf 6 uur voor het begin van het onderzoek. U mag op de dag van het onderzoek geen melkproducten gebruiken. Nadat u in de wachtkamer heeft plaatsgenomen, krijgt u van de MBB’er 1,5 liter water met daarin een contrastmiddel te drinken. Dit drinkt u in 15 minuten op. Het contrastmiddel dat u drinkt kan een laxerende werking hebben.
Hoe lang duurt het onderzoek?
Hoe lang het MRI-onderzoek duurt, verschilt per onderzoek. Dit is meestal tussen de 15 en 40 minuten.Uitslag
De radioloog bekijkt en beoordeelt de MRI-beelden en stuurt een verslag naar de arts die u behandelt.Tot slot
Wat neemt u mee?- uw (geldige) identiteitsbewijs (paspoort, ID-kaart, rijbewijs);
- uw medicatie-overzicht. Dat is een lijst met de medicijnen die u nu gebruikt. U haalt deze lijst bij uw apotheek.
Zorgt u ervoor dat u op tijd bent voor uw afspraak? Kunt u onverwacht niet komen? Geeft u dit dan zo snel mogelijk aan ons door. Dan maken we een nieuwe afspraak met u.
Zegt u een afspraak te laat af? Dan kunt u een rekening krijgen.
Vragen
Heeft u nog vragen en/of opmerkingen naar aanleiding van deze folder, stelt u deze dan aan de medewerker van de afdeling Radiologie of aan de MBB’er.Kijk voor meer informatie over uw onderzoek ook onze website: https://www.alrijne.nl/afdelingen-specialismen/afdelingen-specialismen/radiologie
Hier vindt u foto's, antwoorden op veel gestelde vragen en extra informatie.
Bereikbaarheid
Telefoonnummer afdeling Radiologie (alle locaties): 071 582 8071.De afdeling Radiologie is bereikbaar van maandag t/m vrijdag van 8.30 tot 12.30 uur en van 13.30 tot 16.30 uur.
Het MRI-apparaat ziet eruit als een tunnel. Deze is aan beide kanten open en dit blijft zo tijdens het onderzoek. De doorsnede van de tunnel is ongeveer 70 cm. De MBB’er vraagt u op de onderzoekstafel te gaan liggen. De tafel wordt daarna in de tunnel geschoven. Het te scannen lichaamsdeel komt in het midden van de tunnel te liggen. Voor sommige MRI-onderzoeken is een extra antenne nodig. Deze antenne wordt om het lichaamsdeel geplaatst dat wordt onderzocht.

Voor sommige MRI-onderzoeken van het hoofd, de nek en schouder komt u met het hoofd in het midden van de tunnel te liggen.

Voor onderzoeken van de voeten, enkels en knieën hoeft u niet met uw hoofd in de tunnel te liggen.

Voor onderzoeken van de bloedvaten in de buik en benen, wordt u een aantal keer door de tunnel heen en weer geschoven. Bij een MRI van de borsten komt u op de buik te liggen en gaat u met de voeten eerst naar binnen.
Voor uw veiligheid en privacy kunnen er geen begeleiders mee tijdens het MRI-onderzoek. Dat kan alleen als het echt moet. Als er toch een begeleider mee moet naar de onderzoeksruimte, doen we eerst een veiligheidscontrole. Daarna moet de begeleider een formulier ondertekenen.

De MBB'er die het MRI-toestel bedient, zit in de ruimte naast de onderzoekskamer. Hij/zij kan u zien en horen en houdt tijdens het onderzoek contact met op, op de momenten waarop dit mogelijk is. Er is dus altijd iemand vlakbij u.
Een MRI-onderzoek duurt 15-40 minuten. Dat is langer dan de meeste andere onderzoeken op de afdeling Radiologie. Dat komt doordat bij één MRI-onderzoek verschillende soorten beelden (dunne ‘plakjes’) worden gemaakt. Hierdoor zijn verschillende soorten weefsels in het lichaamsdeel te zien.

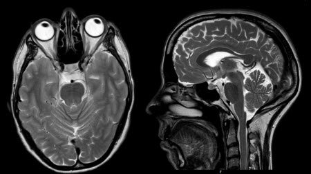
Voorbeeld van plakjes door het hoofd, van boven en opzij
Het MRI-apparaat is eigenlijk een hele sterke magneet. Het apparaat is gemaakt in de vorm van een tunnel. In deze tunnel heeft het magnetisch veld een sterkte van 1,5 of 3 Tesla. Het menselijk lichaam bestaat voor het grootste deel uit water(protonen). Wanneer u in het apparaat ligt, richten de waterstofprotonen in het lichaam zich in de richting van het sterk magnetische veld. Dit noemen we de 'rusttoestand'. Door een radiopuls de MRI in te sturen, kunnen de waterstofprotonen heel even uit hun rusttoestand worden gebracht (resonantie). Deze radiopulsen zijn te vergelijken met het signaal dat een zender naar uw radio stuurt. De radiopuls draagt een klein beetje energie over aan de protonen.
Na de korte verstoring vallen de waterstofprotonen weer langzaam terug naar de rusttoestand (in de richting van het magnetisch veld). De opgenomen energie wordt vervolgens weer als signaal uitgezonden door de waterstofprotonen, wanneer deze terugvallen naar de rusttoestand. Dit signaal wordt gemeten door antennes en door een computer omgezet in beelden. Het ene weefsel bevat veel waterstofprotonen, het andere minder. De tijd die de waterstofprotonen nodig hebben om na de radiopuls terug te vallen naar de rusttoestand, verschilt per soort weefsel. Hierdoor kan men op de beelden de verschillende weefsels van elkaar onderscheiden. Door het maken van verschillende series met beelden (dunne ‘plakjes’ van het lichaamsdeel in diverse richtingen) kan de radioloog de diagnose stellen.
Door het gebruik van verschillende technieken kunnen de weefsels beter of juist minder goed zichtbaar worden. De foto’s (plakjes) kunnen in iedere willekeurige richting worden gemaakt. Tijdens een MRI-onderzoek worden daarom diverse soorten fotoseries (scans) gemaakt.
Het MRI-apparaat maakt een hard kloppend en/of knerpend geluid. Tijdens het onderzoek maakt het apparaat trillingen die dit geluid veroorzaken. Hier kunt u horen welk geluid dit apparaat maakt.
De MBB’er geeft u oordopjes en een koptelefoon die u tijdens het onderzoek moet dragen. Tijdens de meeste onderzoeken kunt u via de koptelefoon naar de radio luisteren. U blijft het geluid van de MRI wel horen.
U kunt de trillingen van het apparaat mogelijk ook iets in het lichaam voelen. Dit is niet schadelijk. Verder kan uw lichaam door de gebruikte MRI-techniek iets opwarmen, waardoor u mogelijk wat gaat zweten. In het apparaat is ventilatie aanwezig. Onbedekte lichaamsdelen mogen niet in direct contact komen met het apparaat. Daarom worden deze afgedekt met een doekje, wanneer dit het geval is.